Tags
Well its been a long time…..
Back in May, we decided to try one last time to get pregnant. After our successful IVF in 2012 that resulted in our son, we had 6 embryos left to freeze. Two were implanted in January 2015 and resulted in a blighted ovum (A story for another day). After a break of a few months,we decided to try with our last three embryos. I knew this would be, one way or another, the end of our long journey with infertility. In many ways, I welcomed that end-whether we were blessed with another child or not. I was tired. I was weary. I was ready to move past this and continue to enjoy the amazing life and gifts I had been given. We had tried 4 times with 8 embryos. One IVF had failed, the following Frozen Embryo Transfer had resulted in a chemical pregnancy, the second IVF in our miracle of a son, and the fourth had resulted in a miscarriage at 6 weeks due to a blighted ovum. After the miscarriage in January, I wasn’t too hopeful that this last try would be a success, yet I wanted to see this through to the end. I wanted to give our family the chance to grow, to experience the joy of having another child. So I dug down deep, found that spark of hope and began again.
Well, it is with great joy that I write today that we are 20 weeks pregnant. We found out recently that we are having a girl. Joy abounds!!! It has not been easy. There were multiple times during the first trimester that we though we had lost her, yet she is seemingly healthy and thriving! I have had everything from low betas, heavy bleeding, the miscarriage of a twin, massive blood clots, measuring behind……but she has come out the other side a fighter, a survivor, and I can’t wait for her to be a part of our family.
I know people experiencing infertility stumble upon my blog from time to time. I am hoping to write entries about all the milieu of things that happened during this try. I hope that someone can find hope, comfort, and/or information to help them along their journey. Stories such as these were a comfort to me during my darkest hours, and I hope my story can somehow offer that sort of warm light in the dark for people still going through infertility. There is life on the other side…….

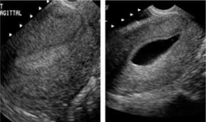
![uter-hysterosono-norm[1]](https://gamblingwiththemoon.com/wp-content/uploads/2014/05/uter-hysterosono-norm1.jpg?w=302&h=180)
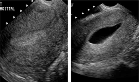
![uter-hysterosono-polyp[1]](https://gamblingwiththemoon.com/wp-content/uploads/2014/05/uter-hysterosono-polyp1.jpg?w=300&h=199)
